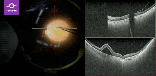
Equipped with built-in full-range SS-OCT, the digital navigation surgical microscope (#Ocean, TowardPi) provides a dependable solution for revealing minute anatomical details in real time during subretinal injection procedures.
Case courtesy of Prof. Ziqing Gao, The First Affiliated Hospital of Bengbu Medical University.


The TowardPi microscope is not yet cleared by CE/MDR or FDA